
Quantitative Analysis of Multiple Subtypes of Immune System Cells in Cancer Tissues
Introduction: Background The modulation of the immune system holds promise in cancer treatment. Molecular markers allows for reliable identification and subsequent analysis of individual inflammatory

Quantifying Immuno-Oncology Markers Across Multiple Tissue Sections With Digital Image Analysis
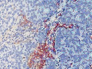
Immuno-oncology (IO) approaches require understanding of the types of immune cells present in the tumor microenvironment (TME) as well as the precise localization of these
IMMUNO-ONCOLOGY COMPANION DIAGNOSTIC APPROACHES
Quantifying PD-L1 Spatial Distribution Signatures for Patient Selection Approaches Introduction Inhibitors of inflammatory checkpoints, such as PD-L1 inhibitors, have demonstrated great promise in preclinical and

MEMBRANE BIOMARKER ANALYSIS
Companion Diagnostic Strategies Specific to Antibody Therapies Introduction One premise of antibody-drug conjugates (ADC) is that the bound mAb-antigen complex on the cell surface will

The role and impact of quantitative discovery pathology
Abstract The decision to advance an early-stage compound into formal preclinical testing depends on confidence in mechanism, efficacy and toxicity profiles. A substantial percentage of
Digital Pathology: A Regulatory Overview
Abstract Digital pathology is a new technology and industry. Official agencies, including the Clinical Laboratory Improvement Amendments (CLIA), the College of American Pathologists (CAP), and