Advanced Spatial Biology and Biomarker Services

Comprehensive data-driven solutions for deeper clinical insights

Precision Solutions for Your Unique Endpoints

Flagship Biosciences offers a broad range of CAP-accredited, CLIA-certified histology, molecular, flow cytometry, and cytogenetic services to meet the unique needs of your clinical development. We provide end-to-end support from pre-IND to commercialization by leveraging our proprietary technologies to maximize every sample in your trial.

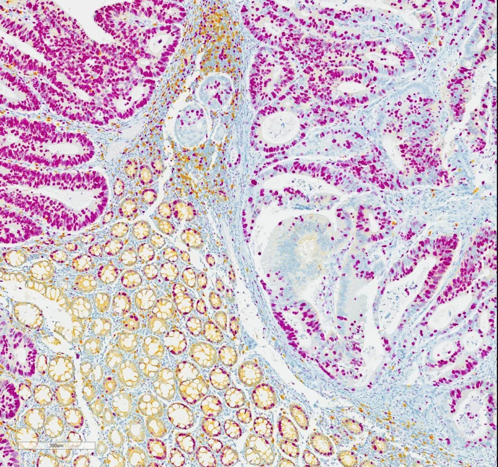
IHC Assays, IF Assays, & ISH Assays

Gain new insights via spatial analysis of cell populations and biomarker expression patterns.

Multiplex Assays

Analyze multiple biomarkers simultaneously for contextual insights using custom or off-the-shelf panels.

Spatial Multiplex Services

Spatial genomics and transcriptomics using highly multiplexed profiling techniques

Molecular Solutions

Whole exome sequencing, RNA sequencing, and proprietary NGS panels

Flow Cytometry & Cytogenetics

Take tissue characterization farther with biomarker and genetic analysis of individual cell populations.

Immunoassays

Detect and quantify your biomarkers with high specificity.

Bioinformatics Solutions

Tailored pipelines for sequencing and biomarker analysis

Biomarker Discovery and Development

Advanced spatial biomarker solutions: IHC/IF/ISH assays, multiplex assays, immunoassays, anatomical pathology, flow cytometry, and cytogenetics

Integrated Biorepository

Sample management including custom collection kits and GLP-compliant, ISBER-compliant storage facilities

Data Analysis and Reporting

Standard data reporting or customized data “deep dives”

Consultation with Scientific Experts

Guidance in pathology, biology, image analysis, data science, and artificial intelligence

Regulatory Strategy and Support​

Strategic regulatory consulting and integrated regulatory submissions support 

Pre-IND Phase I Phase II Phase III Phase IV
/Commercialization
Biomarker Discovery and Development
Genomics Application
spatialplex
Spatial Multiplex Services
Pre-Clinical
/Pre-IND
Phase I Phase II Phase III Phase IV
/Commercialization
Biomarker Discovery and Development
Genomics Application
spatialplex
Spatial Multiplex Services

READY TO TAKE THE NEXT STEP?

Our Services

Pharma

Cell-based image analysis, assays, and partnership to advance clinical trials and regulatory acceptance.

Clinical Diagnostics

Dependable clinical diagnostic testing to connect patients to individualized, immuno-oncology therapies.