IMMUNO-ONCOLOGY COMPANION DIAGNOSTIC APPROACHES

Quantifying PD-L1 Spatial Distribution Signatures for Patient Selection Approaches

Introduction

  • Inhibitors of inflammatory checkpoints, such as PD-L1 inhibitors, have demonstrated great promise in preclinical and clinical studies. This therapeutic paradigm focuses on controlling natural inflammatory checkpoints to stimulate an elevated inflammatory response against the tumor by increasing anti-tumor inflammatory cell infiltrates in the tumor microenvironment (TME) or decreasing inflammatory suppressor infiltrates.
  • The proteins which control these processes can be found in the tumor cells, cells in the TME, or in both locales. Positive cells are often assessed in a qualitative or semi-quantitative manner using immunohistochemistry and evaluation of a limited number of representative microscopy fields across a particular tissue compartment (tumor vs stroma) or the whole tissue area.
  • However, a more specific locale measurement of the inflammatory suppressors, such as PD-L1, may be more revealing than estimating the tumor-wide dispersion of an inflammatory cell type. Unfortunately, the intricate spatial relationships and the often complex distribution of inflammatory cells in tissues pose significant challenges for a meaningful evaluation.
  • We have developed an approach which can quantify these spatial relationships for a biologically meaningful score.

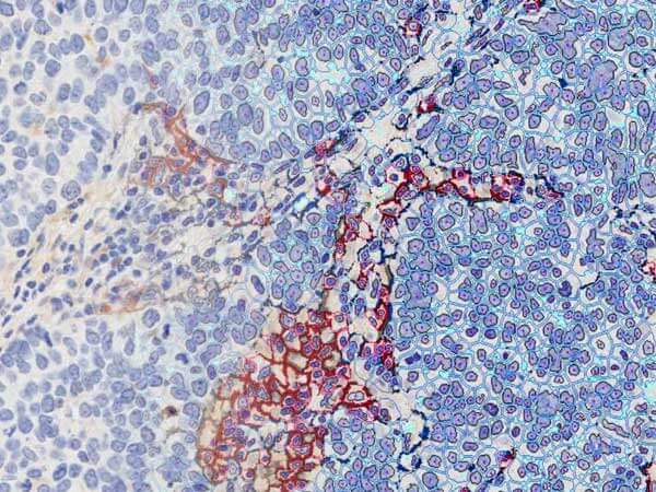
Materials and Methods

  • Immunohistochemistry staining for PD-L1 in whole lung cancer tissue
    sections was performed, and our CellMap software was used to assess PDL1
    positive cell distribution in the whole tissue sections.
  • PD-L1 positive cells were quantified relative to: 1) the total number of
    cells in the tumor and stromal (TME) tissue compartments, and 2) the
    number of cells within a distance range from the tumor/stroma interface.
    Results
  • Interestingly, several unique PD-L1+ cell distribution patterns relative to
    the tumor/stroma interface were observed in the sample cohort analyzed.
  • Quantifying the distribution of PD-L1 positive cells as a function of
    distance from the tumor/stroma interface revealed distribution signatures
    which could be used to uniquely differentiate between samples. In contrast,
    this differentiation of the same samples was not possible when PD-L1+ cells
    were assessed relative to the total number of cells.