
Multiplexed Measurement of Proteins in Tissue in a Clinical Environment
Abstract There is an emerging need for more effective approaches to accurately quantitate protein expression in tissue samples. In many clinical studies and particularly in

Evaluating tumor heterogeneity in immunohistochemistry-stained breast cancer tissue
Abstract Quantitative clinical measurement of heterogeneity in immunohistochemistry staining would be useful in evaluating patient therapeutic response and in identifying underlying issues in histopathology laboratory

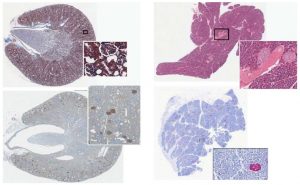
Heterogeneity in Gastric Cancer
Tissue Pattern Recognition Error Rates and Tumor Heterogeneity in Gastric Cancer Abstract: The anatomic pathology discipline is slowly moving toward a digital workflow, where pathologists
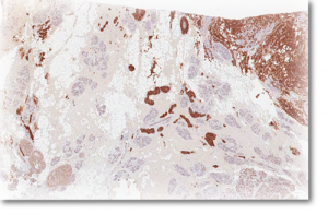
Blood Vessel Density Analysis
AngioMap is a Novel Image Analysis Algorithm for Assessment of Plasma Cell Distribution Within Bone Marrow Vascular Niche Abstract: The ability to characterize distribution of

In-Situ Hybridization Quantification
An Integrated Optical Density Based Measurement to Evaluate CISH Staining in Tissue Sections Introduction: For many years, chromogenic in-situhybridization (CISH), or its fluorescent counterpart (FISH)

Automated Assessment of Dystrophin Expression in Muscular Dystrophy
Abstract: Quantification of skeletal muscle fiber parameters is challenging, but important for the evaluation of a variety of neuromuscular diseases. Various endpoints from individual fiber