Heterogeneity in Gastric Cancer

Tissue Pattern Recognition Error Rates and Tumor Heterogeneity in Gastric Cancer

Abstract:

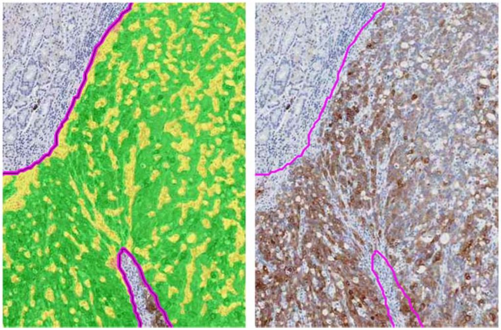
The anatomic pathology discipline is slowly moving toward a digital workflow, where pathologists will evaluate whole-slide images on a computer monitor rather than glass slides through a microscope. One of the driving factors in this workflow is computer-assisted scoring, which depends on appropriate selection of regions of interest. With advances in tissue pattern recognition techniques, a more precise region of the tissue can be evaluated, no longer bound by the pathologist’s patience in manually outlining target tissue areas. Pathologists use entire tissues from which to determine a score in a region of interest when making manual immunohistochemistry assessments. Tissue pattern recognition theoretically offers this same advantage; however, error rates exist in any tissue pattern recognition program, and these error rates contribute to errors in the overall score. To provide a real-world example of tissue pattern recognition, 11 HER2-stained upper gastrointestinal malignancies with high heterogeneity were evaluated. HER2 scoring of gastric cancer was chosen due to its increasing importance in gastrointestinal disease. A method is introduced for quantifying the error rates of tissue pattern recognition. The trade-off between fully sampling tumor with a given tissue pattern recognition error rate versus randomly sampling a limited number of fields of view with higher target accuracy was modeled with a Monte-Carlo simulation. Under most scenarios, stereological methods of sampling-limited fields of view outperformed whole-slide tissue pattern recognition approaches for accurate immunohistochemistry analysis. The importance of educating pathologists in the use of statistical sampling is discussed, along with the emerging role of hybrid whole-tissue imaging and stereological approaches.

Published in Applied Immunohistochemistry & Molecular Morphology. January 2013. Authors: Potts SJ, Huff SE, Lange H, Zakharov V, Eberhard DA, Krueger JS, Hicks DG, Young GD, Johnson T, Whitney-Miller CL.