
Success Through Centralization? The Path to Realizing Digital Pathology’s True Value
Success Through Centralization? The Path to Realizing Digital Pathology’s True Value The Pathologist, September, 2021: Success Through Centralization? The Path to Realizing Digital Pathology’s True

Clinical Diagnostics POSTER: A Novel Image Analysis Assay for Determining Programmed Death-Ligand (PD-L1 [22C3]) in Non-small Cell Lung Cancer that Accounts for Tissue and Alveolar Macrophages (Poster No. 435 #AACR2021)
Clinical Diagnostics POSTER: A Novel Image Analysis Assay for Determining Programmed Death-Ligand (PD-L1 [22C3]) in Non-small Cell Lung Cancer that Accounts for Tissue and Alveolar

POSTER: Clinical Validation of an Image Analysis Assay for Determining Programmed Death-Ligand 1 (22C3) in Non-small Cell Lung Cancer
POSTER: Clinical Validation of an Image Analysis Assay for Determining Programmed Death-Ligand 1 (22C3) in Non-small Cell Lung Cancer Background: Determination of programmed death-ligand 1

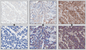
POSTER: Image Analysis-Based Identification and Quantification of Macrophages in PD-L1 (22C3) Stained NSCLC Tissue Sections Without Additional Macrophage-Specific Staining
ABSTRACT PD-L1 positivity in tumor-associated macrophages has been related to a favorable response to anti-PD-1 and PD-L1 targeted therapies. This concept has driven interest in

POSTER: Evaluating Benefits of PD-L1 Image Analysis for the Clinical Setting
POSTER: Evaluating Benefits of PD-L1 Image Analysis for the Clinical Setting Abstract: Tissue-based investigations can prove to be challenging due to complex tissue architecture, heterogeneous
Sign up to receive
industry and company
news, including
The Cut Point,
Flagship’s quarterly
e-newsletter.